Loading...
Prevenção / Scan for Life

Scan for Life

Na grande maioria dos executivos, homens ou mulheres, o estilo de vida acarreta grande stress com aumento de risco cardiovascular.

Neste tipo de indivíduos, o risco de doença cardíaca, chega a aumentar cerca de 200%.

Além disso, muito dos executivos apresentam múltiplos factores de risco:

  • Tabagismo;
  • Estilo de refeição errada;
  • Peso corporal errado;
  • Longas horas de trabalho, sem tempo para exercício regular;
  • Stress constante.

Todas estas situações podem contribuir para doença arterial coronária, hipertensão, diabetes e neoplasia.

Associadamente, a maioria dos executivos, devido ao estilo de vida, não efectua com regularidade controlo médico adequado. Nestes casos, achamos que o rastreio com o nosso programa Scan for Life, abrangendo todas as valências, está perfeitamente adequado.

O conceito scan for life tira partido das mais avançadas tecnologias de imagem médica, para o screening dos estados precoces de doença cardíaca, neoplasia e acidente vascular cerebral – muito antes de surgirem os primeiros sintomas, de modo a que seja possível um tratamento efectivo.

A introdução dos mais recentes sistemas de tomografia computorizada Dual-Source, primeiros equipamentos destes instalados em Portugal – Siemens Somaton Definition FLASH e DRIVE, com dupla ampola e duplo detector, permite a aquisição de 256 imagens em 0.28 segundos, utilizando-se uma dose de radiação muito reduzida, bastante inferior à utilizada, nomeadamente nos equipamentos de 64 cortes, geralmente utilizados para avaliação cardíaca, nomeadamente das artérias coronárias. Associamos ao nosso programa de rastreio a última tecnologia em ressonância magnética 3 tesla para despiste de patologias cerebral, prostática e mamária.

Este tipo de exame preventivo é largamente utilizado noutros países, nomeadamente nos Estados Unidos. Pretende-se com o conceito de scan for life a avaliação de orgãos vitais alvo, dependendo de factores de risco de cada individuo, não comportando portanto o esquema inespecífico e desapropriado do “all body CT” (TAC de corpo inteiro).

IMAGEM PREVENTIVA

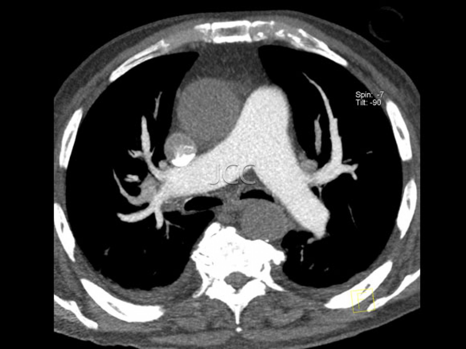
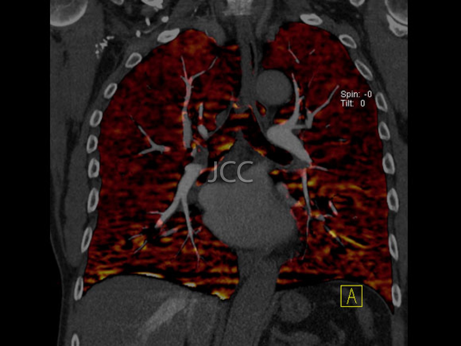
Pela 1ª vez na história da medicina, através da tecnologia multi-detector, com dupla ampola e ressonância magnética de última geração 3 tesla, é possível, de modo não invasivo e capacidade diagnóstica comprovada, efectuar o screening de processos patológicos, para prevenção de doença cardíaca, neoplasias e acidente vascular cerebral – AVC. Salienta-se que com o nosso equipamento de TAC dual source - 256 cortes -  a dose de radiação é  muito baixa (cerca de 10 vezes inferior à dose dos equipamenos de TAC de 64 cortes).  Os dados obtidos nestes equipamentos de ultima geração são tratados em estações de trabalho de alto nível, que utilizando sistemas CAD e de visualização tridimensional, resulta em informação detalhada e muito rigorosa.

O conjunto destes exames com este tipo de equipamento constitui a modalidade de escolha para o estudo imagiológico do corpo humano, através de angiografia não invasiva do coração, do cérebro e dos vasos do pescoço, colonoscopia virtual por TAC assim como a avaliação dos restantes orgãos e estruturas ósseas do tórax, do abdomen e da pélvis, o estudo da próstata no caso do homem e da mama no caso da mulher.

CHECK-UP NEUROLÓGICO

  • Angio RM cerebral
  • Eco-doppler das carótidas

CHECK-UP CARDIO-TORÁCICO

  • Angio TC das Coronárias
  • TC do Tórax

CHECK-UP GLOBAL HOMEM

  • Angio RM cerebral - Pesquisa de lesões vasculares
  • Eco-doppler das carótidas
  • Angio TC das Coronárias
  • TC do Tórax com contraste - Pesquisa de nódulos pulmonares e Avaliação do mediastino
  • TC abdominal
  • Colonoscopia virtual por TC
  • TC da coluna dorsal e lombar
  • RM da próstata

CHECK-UP GLOBAL MULHER

  • Angio RM cerebral - Pesquisa de lesões vasculares
  • Eco-doppler das carótidas
  • Angio TC das Coronárias
  • TC do Tórax com contraste - Pesquisa de nódulos pulmonares e Avaliação do mediastino
  • RM Mamária
  • TC abdominal
  • Colonoscopia virtual por TC
  • TC da coluna dorsal e lombar
  • RM pélvica

PDF Descarregar Panfleto Scan for Life