Loading...
Back
Exams

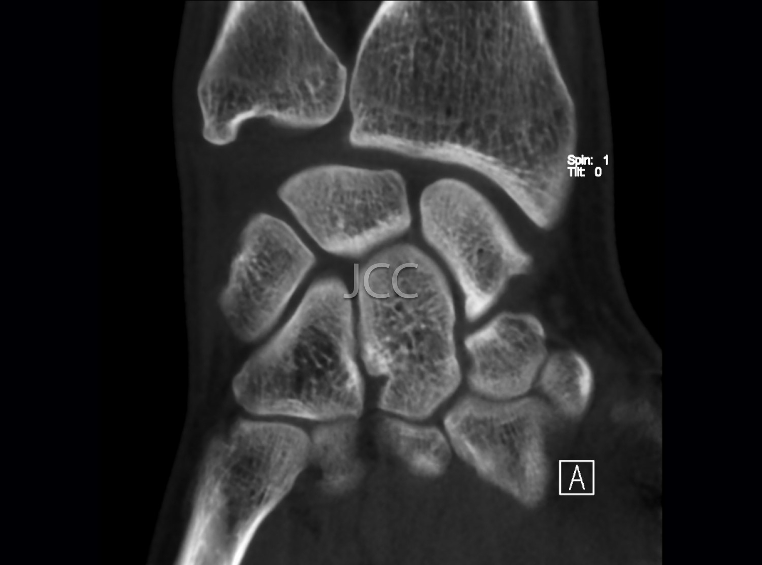
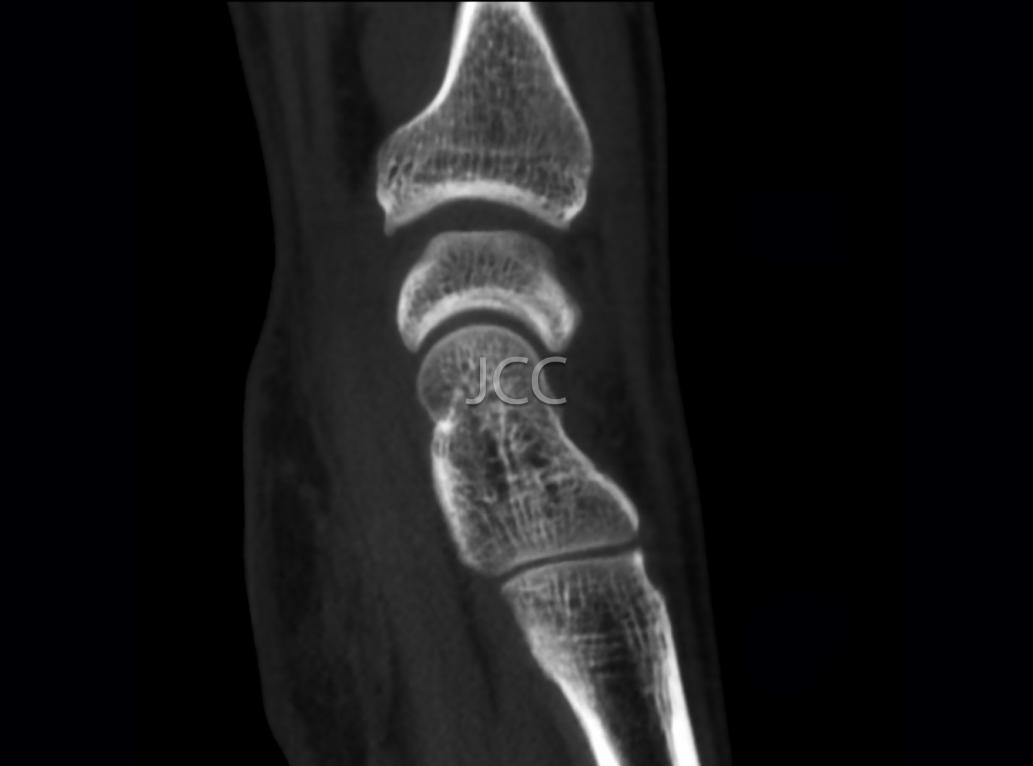
Cone Beam CT - Small Joints - Wrist / Hand / Fingers CBCT

We use a CBCT equipment which allows the study in low-dose radiation and very high spatial resolution of the bone structures of small joints, such as joints of the wrist, elbow, hands, feet, fingers, etc.

Taking into account the superior spatial resolution of the CBCT for bone evaluation compared to state of the art multi-cut CT equipment, this modality actually allows detecting small fractures or discrete small bone changes more effectively than the CT.

Applications

•Trauma to exclude small fractures

•Degenerative bone alterations

*Although preferably the CBCT mode is chosen, when one intends to analyse soft tissue pathologies, multi-cut CT is used.

PRECAUTIONS TO BE TAKEN

  • This examination does not require any previous preparation.